Virology
Oxford launches COVID reinfection study
To try and understand the immune response to SARS-CoV-2, including the threat of COVID reinfection, the University of Oxford will purposely infect volunteers.
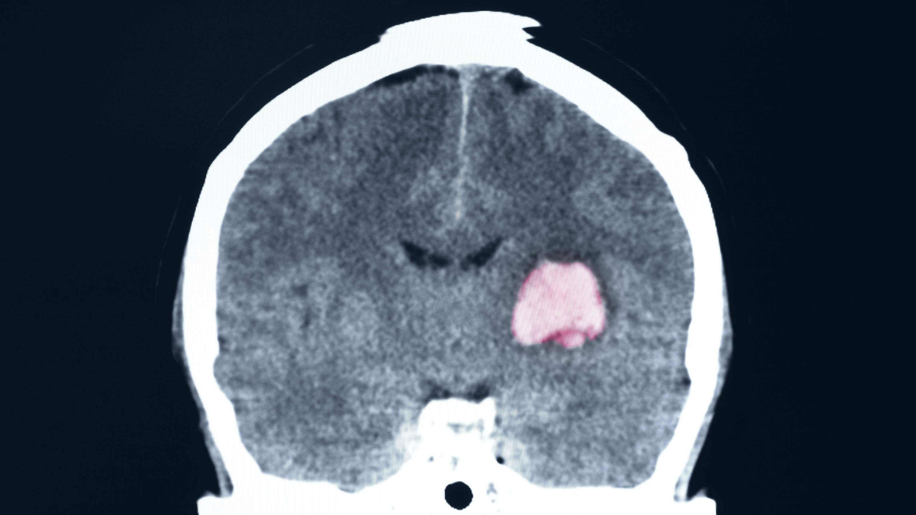
A modified herpes virus can fight brain cancer in children
In a small clinical trial, using herpes viruses modified to only infect tumors — oncolytic virus therapy — more than doubled the life expectancy of children with aggressive brain tumors.
New approach for mRNA HIV vaccine passes first human trial
There is currently no HIV vaccine, but a new technique which produced specific immunity cells in humans may pave the way to one.
A common virus may be the key to a COVID vaccine for young children
Researchers have reverse-engineered a common children’s virus to show the spike protein, potentially leading to a new COVID vaccine for young children.
Virus hidden in human for years may have caused new ebola outbreak
A genetic report shows that a survivor of the 2014-2016 Ebola outbreak in Guinea is likely to have begun the latest episode.
One mosquito protein weakens several deadly flaviviruses
A mosquito protein that targets the viral envelope of flaviviruses, inhibiting their activity, could help doctors treat several life-threatening diseases.
Existing chemo drugs could offer a potential Ebola treatment
Capable of causing highly lethal disease, Ebola treatment is a public health priority. A new study shows chemo drugs may do just that.
Researchers have discovered how SARS-CoV-2 is mutating
SARS-CoV-2 mutations, which cause new variants of the virus, are eluding the virus’s proofreader. New research shows why.
A new bird flu is infecting people. Here’s what we know.
The H5N8 bird flu virus has reportedly infected seven poultry farm workers in Russia. Here’s what we know about the new avian flu threat.
Can CRISPR engineer immunity to avian flu in chickens?
An outbreak of avian flu in chickens can mean millions of birds dead and billions of dollars lost. This startup wants to engineer flu-resistant poultry.