New stem cell patches could repair babies’ heart defects permanently
Stem cell patches under development in the UK might allow surgeons to permanently repair infants congenital heart defects.
Not just light: Everything is a wave, including you
In the 1920s, the wave-particle duality of light was extended to include all material objects, from electrons to you.
The mail is finally going electric (its trucks, anyway)
After withering criticism from the EPA, Biden officials, and 16 states, the USPS has announced it will order more electric delivery vehicles.
The dawn of AI has come, and its implications for education couldn’t be more significant
AI like ChatGPT is forcing us to rethink education. But if we embrace it, it could empower both students and teachers.
McDonald’s opens its first automated restaurant in Texas
McDonald’s has opened a new highly automated restaurant, giving customers a first look at the potential future of fast food.
Genetic research confirms your dog’s breed influences its personality — but so do you
A dog's breed has a big impact on their personality, but whether they fit your lifestyle is also down to good training.
A look at innovative, single-incision procedures
In partnership with Intuitive
With a single incision, some surgeons can now accomplish just as much as they previously did with four.
Sophia the robot becomes first humanoid to be signed by a gaming org
Sophia the robot has signed to XSET, a gaming organization and lifestyle brand focused on diversity and inclusion.
This company turns food waste and mushrooms into building materials
UK-based company Biohm uses natural vegetative material like food waste and mushrooms to ‘grow’ insulation panels.
A far-out plan to build an asteroid city
University of Rochester researchers think they have a solution to creating an asteroid city: a giant bag.
We gave ChatGPT a college-level microbiology quiz. It blew the quiz away.
A microbiologist devised a quiz that would be appropriate as a final exam for college-level microbiology students. ChatGPT blew it away.
World’s highest-res pictures of snowflakes combine art and tech
Former Microsoft CTO Nathan Myhrvold custom built a camera system to take the world’s highest-resolution pictures of snowflakes.
China’s new space station is open for business
On Nov. 29, 2022, the Shenzhou 15 mission launched from China’s Gobi Desert carrying three taikonauts – the Chinese word for astronauts.
New experiment produces hydrogen with LEDs
Quantum simulations have identified a cheap way of extracting hydrogen fuel from liquid ammonia using LED light.
The “recovery paradox” explains why you’re burnt out
There's regular job stress, and then there's uncertainty, dread, and constant change. Here's how to actually recover from it.
The 12 most exciting space missions of 2023
2023 will see the launch of new rockets, the return of OSIRIS-REx, and a mission to Jupiter that could help us find extraterrestrial life.
Paper-thin solar cell can turn any surface into a power source
MIT researchers have developed a scalable fabrication technique to produce ultrathin solar cells that can be stuck onto any surface.
New antibody therapy works for 73% of multiple myeloma patients
A new multiple myeloma therapy that uses an antibody to bring T cells to the cancer has shown efficacy in clinical trials.
Pricing groundwater will help solve California’s water problems
The state’s Sustainable Groundwater Management Act is a great opportunity — but only if it goes far enough.
Seven science and tech breakthroughs you may have missed this year
A roundup of major science and tech achievements that flew under the radar in 2022, including new vaccines, advanced solar cells, and more.
How to use the brain’s own immune cells to stave off Alzheimer’s
Research suggests that microglia play a key role in preventing neurodegenerative diseases by helping to remove toxic waste.
Search engines and AI will make each other better
The tech behind ChatGPT isn’t ready to overthrow Google, but it could fix what’s wrong with search engines.
Rewilding: letting nature do its own thing
Rewilding organisations in Europe are reintroducing lost species including the Eurasian lynx and Marsican brown bear.
Engineered bacteria may one day prevent kidney stones
In a small proof-of-concept study, an engineered E. coli was able to reduce levels of a kidney stone-causing chemical.
“Galactic archeology” makes spectacular find: the Milky Way is over 13 billion years old
Scientists have pushed the Milky Way's early history back more than 2 billion years: to less than 800 million years after the Big Bang.
Harvard and Kraft Heinz are trying to make sugar healthier
Instead of replacing sugar, Wyss scientists had an idea: what if they change sugar to make it healthier?
Neuroscientists recommend more carbs and less coffee to combat seasonal depression
Taking small steps to help your circadian rhythm adjust to winter could mean happier times during what are literally the darkest days.
Researchers have developed a way to “decode” depression
Baylor College of Medicine researchers have developed an electrode-based “mood decoder” capable of mapping brain activity to mood.
After 50 years, fusion power hits a major milestone
Researchers in California achieved net energy gain in a thermonuclear fusion experiment. But how great of a breakthrough is this, really?
MIT is testing light and sound to combat Alzheimer’s
MIT researchers are developing a therapy that uses 40-Hz light and sound to alter Alzheimer’s patients’ gamma waves.
Mega bacteria that can be seen with naked eye shakes up the field of microbiology
A newly discovered species of bacteria is so large that it can be seen with the naked eye. It also contains a DNA-containing nucleus.
Just a few short bursts of physical activity each day might yield huge health benefits
Researchers tracked 25,241 non-exercisers wearing accelerometers to find out of brief bursts of activity lowered their risk of dying.
World’s biggest cultivated meat factory is being built in the US
Israeli startup Believer Meats is building the world’s biggest cultivated meat factory in Wilson, North Carolina.
AI-based theory explains your weird dreams
Researchers suggest that dreaming helps us generalize our experiences so that we can adapt to new circumstances.
Generative AI: The technology of the year for 2022
It's made headlines so often that there is no question that 2022 will be remembered as the year that Generative AI stunned the world.
How exercise changes your brain biology and protects your mental health
A psychiatrist and neuroscientist began to think of prescribing exercise as telling patients to take their “exercise pills.”
Stem cell breakthrough could save the northern white rhino
To save the northern white rhino species from extinction, researchers are turning stored rhino tissue samples into sperm and egg cells.
New battery is cheaper than lithium-ion with four times the capacity
A new type of room temperature sodium-sulfur (RT Na-S) battery could help solve the renewable energy storage problem.
Will physics prevent SpinLaunch from succeeding?
SpinLaunch has a working prototype successfully launching objects at 1,000 miles-per-hour, but will the laws of physics stand in the way?
Twin exoplanets may be the first known “water worlds”
Twin exoplanets 218 light years from Earth may be the first known examples of “water worlds.”
Ad-free search engine to launch ChatGPT-like AI feature
The ad-free Neeva search engine is adding an AI feature that will answer user queries with conversational text, rather than lists of links.
Armadillo experiment suggests that we can regenerate human livers with leprosy
M. leprae-infected armadillos develop enlarged, healthy livers with gene expression patterns similar to human fetal livers.
New “future-proof” drug can fight COVID-19 and the common cold
Researchers have identified a compound capable of stopping multiple coronaviruses in cell and tissue models.
First-of-its-kind therapy sends girl’s incurable cancer into remission
A first-of-its-kind CAR T-cell therapy sent a UK girl’s blood cancer into remission when all other treatments failed.
An Earth-sized planet found in the habitable zone of a nearby star
For a long time, only two habitable zone planets of any size were known to astronomers: Earth and Mars. But NASA's discovered another.
Extra-salty lithium battery less likely to catch fire
Stanford researchers have developed a battery electrolyte that can allow lithium-ion batteries to operate safely at much higher temperatures.
World’s first asteroid-hunting spacecraft to launch in 2028
NASA has announced plans to launch the world’s first asteroid-hunting spacecraft — the $1.2 billion NEO Surveyor — in 2028.
“Personalized curriculums” could get kids to care about school again
Personalized learning has to potential to prepare learners who are self-regulating and self-motivated for life beyond school.
Moderna’s mRNA cancer vaccine reduces risk of recurrence or death by 44%
Moderna’s new mRNA cancer vaccine reduced melanoma patients’ risk of recurrence or death by 44% compared to a standard treatment alone.
Anxiety treatment in early childhood can lower long-term mental health risks
Some anxiety is normal and, in fact, necessary and helpful. But what happens when it interferes with a child's daily functioning?
Here’s what that fusion power breakthrough really means
This year, NIF reports that it has achieved "ignition" — that is, it has achieved slightly more fusion energy output than laser energy input.
SpaceX launches groundbreaking Japanese lunar lander
A lunar lander built by Japanese aerospace startup ispace is poised to be the first private spacecraft to soft land on the moon.
Cheap liver drug can prevent COVID-19
A cheap, readily available drug used to treat liver disease could also prevent COVID-19 infections — regardless of the variant.
A new class of antidepressant works in 2 hours
Most types of antidepressants work by increasing neurotransmitter levels throughout the brain, which take weeks. A new drug takes hours.
New CRISPR tech makes it possible to wipe out invasive mice
Australian researchers have developed a gene drive that renders female mice infertile, opening the door to a new type of pest control.
Earth’s magnetic field supports biblical stories of destruction of ancient cities
By utilizing the ancient orientation of the Earth’s magnetic field, scientists have been able to piece together the history of ancient Judea.
Breakthrough drug cures sleeping sickness with one dose
A new, one-dose treatment for lethal sleeping sickness was 95% effective at clearing the parasite from patients.
“DALL-E 2 of biology” designs proteins for new drugs
The Chroma AI's ability to design proteins with structures no one has ever seen before could revolutionize medicine.
3 rules to express your thoughts so that everyone will understand you
Alan Alda recommends making no more than three points, explaining difficult ideas in three ways, and repeating key points three times.
These tiny bubbles are “warheads” for killing cancer
By combining tiny nanobubbles with ultrasound, Israeli researchers showed they can destroy tumors.
Scientists discover two brand new minerals in massive meteorite
A massive, 4.5-billion-year-old meteorite located in Somalia contains two new minerals never seen before in nature.
Are we living in a baby universe that looks like a black hole to outside observers?
If the black holes that form in our cosmos give birth to baby Universes, perhaps we arose from the formation of a black hole ourselves.
Old Parkinson’s drug helps teens with type 1 diabetes
The Parkinson’s disease drug bromocriptine lowered blood pressure and reduced aortic stiffness in young people with type 1 diabetes.
Startup unveils flying taxis expected to soar over NYC in 2025
Startup Archer Aviation has just unveiled Midnight, its first electric vertical take off and landing (eVTOL) vehicle.
Parents: Don’t focus on happiness, help build resilience instead
Happiness emerges from resilience, which helps children regulate difficult emotions and stressful situations.
These “Kanga and Joey” bots will dive into the sewers, so we don’t have to
A new generation of smart, miniature robots could soon carry out the vital inspections and repairs needed to keep the sewer system afloat.
Five creative ways people are using ChatGPT
Internet users are getting creative with OpenAI’s new chatbot, ChatGPT, using it to plot movies, write menus, and more.
Scientists uncover key to future hepatitis C vaccine
While treatments are available for HCV-related infections, they are expensive, hard to access, and do not protect against reinfection.
Startup unveils $179 houseplant engineered to purify your air
Neoplants' $179 genetically engineered houseplant pulls VOCs from the air 30 times more efficiently than plants found in nature.
Bacteria breakthrough could create brand new cheese flavors
A new set of experiments has shown for the first time how the unique flavors of different cheeses can be linked to specific types of bacteria.
Ancient killer asteroid created a megatsunami on Mars
3.4 billion years ago, an asteroid impact created a megatsunami on Mars that extended for 1500 kilometers. Here's the fascinating story.
How neuroscience can make us better parents
Kids' brains develop in four main stages. Each has its own particular set of advancements and challenges for parents.
FDA approves US’s first fecal transplant therapy
The FDA has approved Rebyota, a slurry used during fecal transplant therapy to treat recurrent C. difficile infections.
Magnets pull these tiny medical robots deep into the brain
LA-based startup Bionaut Labs is developing micro-sized medical robots that are guided through the body by magnets.
What can cities do to survive extreme heat?
Urban heat waves are getting worse, but better data and timely government action could make them less deadly.
“Korean Google” opens the world’s first robot-friendly building
Tech giant Naver Corporation designed its new headquarters, 1784, to be a "robot-friendly" testing ground for its latest technologies.
How flu got milder since 1918 pandemic
The risk of death from influenza has declined over time, but globally, hundreds of thousands of people still die from the disease each year.
NASA invests $57 million in a 3D laser printer to build moon bases
NASA has invested $57.2 into construction company ICON’s 3D printer for building on the moon, Mars, and beyond.
An interview with ChatGPT about itself
Freethink interviews OpenAI’s ChatGPT, an AI chatbot capable of generating conversational text, code, and more in response to prompts.
Newly discovered gut bacteria may be a culprit behind rheumatoid arthritis
This bacteria is found only in the intestines of people with rheumatoid arthritis, and not in the intestines of healthy people.
Watch a Neuralink robot insert electrodes into a dummy brain
During a livestreamed event, a Neuralink robot precisely inserted 64 electrode-packed threads into a dummy brain in just 15 minutes.
Rolls-Royce tests its first hydrogen-powered plane engine
Rolls-Royce and easyJet have demonstrated for the first time that a modern plane engine can be safely powered by hydrogen fuel.
How to fight Covid with light
Some wavelengths of light in a range called far-UVC kill microbes in experiments and appear to be harmless to people.
What the new Earth-threatening asteroid means for humanity
In a remarkable achievement, three new large asteroids have been found in the most elusive place: inside the orbit of Earth.
Diplomacy game AI can negotiate, form alliances, and persuade people
The game of Diplomacy, based on social skills, has long been seen as a tough challenge for AI. But Meta’s CICERO has proven itself up to the task.
Astronomers detect “mystery molecule” in exoplanet’s atmosphere
Thanks to the James Webb Space Telescope, we now know more about the atmosphere of WASP-39b, a distant gas giant, than any other exoplanet.
The (robotic) doctor will see you now
Study finds patients are receptive to interacting with robots designed to evaluate symptoms in a contact-free way.
New ultra-thin solar cells could be the future of space power
Ultra-thin solar cells could extend the operational lifetimes of satellites while also making missions less costly and more efficient.
Exercise boosts the brain — and mental health
New research is revealing how physical activity can reduce and even ward off depression, anxiety and other psychological ailments.
Australia’s first rocket set to launch in 2023
Gilmour Space expects to launch its first rocket in 2023, which will add Australia to the short list of nations to send rockets to space.
A green trifecta: how a concrete alternative can cut emissions, resource use, and waste
Building materials and construction generate about 20% of global greenhouse gas emissions. What if there was an alternative?
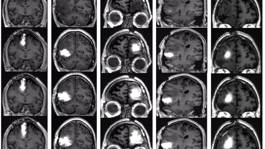
New brain cancer vaccine completes clinical trial
Northwest Biotherapeutics reports that its new brain cancer vaccine can extend glioblastoma patients’ lives by months or even years.
Seabin: How these “floating garbage bins” can help clean up our waters
Each floating garbage bin is capable of capturing 90,000 plastic bags every year for less than $1 a day, just by being in the water.
Construction juggernaut unveils huge electric mining truck
Construction equipment manufacturer Caterpillar has demonstrated its first battery-electric large mining truck.
The science of habits
Whether you’re trying to break a bad habit or start a good one, psychologists have some tips to get you started.
Playing sea soundscapes can summon thousands of baby oysters – and help regrow oyster reefs
Researchers amplified the natural sounds of the sea through underwater speakers to draw baby oysters to swim to the location.
Deadly disease treated in the womb for the first time
In a medical first, doctors were able to prevent heart and muscle damage using enzyme replacement therapy.
New chemo pump for brain tumors could avoid side effects
A fully implantable chemo pump could help extend the lives of people with deadly brain tumors while minimizing treatment side effects.
UK study suggests single dose of monkeypox vaccine is 78% effective
A new analysis by the UK Health Security Agency has determined that one shot of a monkeypox vaccine is 78% effective at preventing infection.
$3.5 million treatment for hemophilia wins FDA approval
The FDA has approved biotech company CSL Behring's Hemgenix, a hemophilia B treatment that costs $3.5 million per dose.