How college in prison is leading professors to rethink how they teach
College in prison reduces the chance of reoffending, but it also dramatically changes the perspective of the professors who teach them.
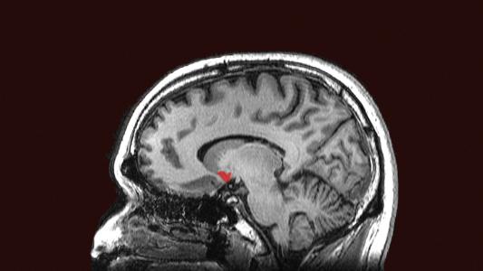
How you breathe affects your brain
A psychiatrist and neuroscientists investigate how breathing affect the brain and biological markers of stress and immune function.
AI is helping to ID victims in Holocaust photos
The new website From Numbers to Names uses facial recognition tech to identify previously anonymous faces in Holocaust photos.
Discovery finds the Earth’s core is constantly changing the length our day
The length of our day changes slightly over a six-year period. This recent discovery has perplexed scientists for about a decade.
This meteorite material could power our clean energy future
A lab-made version of tetrataenite, a mineral found in meteorites, could replace rare earth elements in the production of permanent magnets.
Kid-friendly superblocks are a way for residents to reclaim their streets
A superblock covers several neighbourhood blocks reserved for shared use by cyclists, walkers, and residents.
Electrically stimulating the brain helps stop binge eating
Two people with binge eating disorder reported that deep brain stimulation helped them control their eating and lose weight in a small study.
When is the best time to exercise?
Though morning workouts may be optimal for circadian rhythms, afternoon exercise tends to be slightly more efficient.
New CRISPR cancer treatment tested in humans for first time
A new personalized CRISPR cancer treatment modifies the immune system's T cells to help them recognize a specific patient's tumor cells.
Good and bad memories are stored in different neurons, study finds
Positive and negative memories are stored in different parts of the brain, raising the possibility of therapeutic memory manipulation.
New fentanyl vaccine could help avoid relapses and overdoses
An in-development fentanyl vaccine that prevents the drug from entering the brain could one day help people avoid relapsing or overdosing.
NASA’s Orion spacecraft sends back first images
NASA has shared the first images from its Orion spacecraft, which is expected to do a lunar flyby on November 21.
Injectable gel repairs severe spinal cord injuries and enables mice to walk
An injectable gel that prevents scar formation and stimulates regeneration successfully repaired severe spinal cord injuries in mice.
Lab-grown meat clears major FDA hurdle
Startup UPSIDE Foods’ lab-grown chicken has passed a key FDA checkpoint, putting cultured meat one step closer to sale in the US.
UK test-fires its first high-energy laser weapon
The UK has successfully test-fired the $115 million DragonFire, its first high-powered, long-range laser weapon.
What is the largest planet out of all the ones we know?
The "upper limit" to the size of our planets is exceeded in other stellar systems, but double Jupiter's radius seems to be the limit.
Study finds mindfulness as effective as medication for anxiety
An intensive form of mindfulness was found as effective as Lexapro in treating anxiety in adults in the first head-to-head comparative study.
“Robot rooms” could be the future of homes and offices
Integrating robots into walls, ceilings, furniture, and appliances could radically change our indoor spaces.
Moderna to develop mRNA vaccines for Ebola
Moderna is reportedly nearing a deal with the DoD to develop mRNA vaccines for biological threats like Ebola
New “risky” playground could make kids anti-fragile
A new playground in Melbourne’s Southbank is the work of artist Mike Hewson, who introduces "risk" back into play.
Our ancestors first developed humanlike brains 1.7 million years ago
Using computed tomography, a team of researchers generated images of what the brains of early Homo species likely looked like.
Cheap blood pressure med could help treat alcoholism
Spironolactone, a cheap medication used to treat high blood pressure, might also be able to help people overcome alcohol use disorder.
New deep brain stimulator is powered automatically by breathing
A deep brain stimulator powered by breathing could eliminate the need for patients to undergo regular battery-change surgeries.
Brain implant translates neural activity into letters, letting a paralyzed man “speak”
A new device allowed a paralyzed patient to "speak," spelling out full sentences in real-time with an error rate of about 8%.
Old herpes drug helps kill deadly superbug
The anti-herpes drug edoxudine can weaken the deadly superbug K-pneumoniae, potentially offering a new weapon against antibiotic resistance.
Spinal cord stimulation helps paralyzed patients walk again
Swiss researchers have used epidural electrical stimulation to restore walking in nine people with chronic spinal cord injuries.
Doctors may not be ready for blood tests that screen for multiple cancers at once
MCED tests are different from existing ones because they are trying to detect early-stage cancer, when there aren’t that many tumor cells.
“SkinKit” lets ordinary people build their own “smart tattoos”
"SkinKit" smart tattoos are wearable devices that collect data directly from users' bodies and display useful information in real time.
Yale’s new nasal vaccine can boost an mRNA shot
A nasal vaccine delivered as a booster to mRNA shots might offer better protection against COVID-19 and help stop the virus from spreading.
African researchers push for a human challenge trial to fight TB
Tuberculosis kills over a million people a year. Researchers in Malawi are pushing for a clinical trial that may help change that.
Medical robot to treat injured soldiers on the battlefield
A VR-controlled medical triage robot is being built to help trained techs attend to injured soldiers on the battlefield.
Chernobyl fungus could shield astronauts from cosmic radiation
A recent study tested how well the fungi species Cladosporium sphaerospermum blocked cosmic radiation aboard the International Space Station.
Australian man uses brain implant to send texts from his iPad
The Stentrode — a brain-computer interface implanted through minimally invasive surgery — has been used to send text messages from an iPad
A new therapy sends lupus into remission
Five patients in Germany had their lupus wiped out by CAR T-cell therapy.
ISS experiment will 3D print a body part in microgravity
An International Space Station experiment to test 3D-printing in microgravity could help end the organ shortage on Earth.
Engineered bacteria may fight this brain-damaging genetic disorder
A possible phenylketonuria therapy using engineered bacteria has shown positive results in a small phase 2 trial.
A malaria-fighting antibody has passed phase 2 trials
An antibody designed to prevent malaria infection has proven effective in phase 2 trials in Mali.
A new material called a mechanical neural network can learn and change its physical properties
The new material’s architecture is based on that of an artificial neural network – layers of interconnected nodes that can learn to do tasks.
UK trials world’s first lab-grown blood transfusions
UK researchers have launched the world’s first trial in which lab-grown blood cells are being transfused into another person.
Cruise robotaxi service is quickly expanding
General Motors subsidiary Cruise is quickly expanding its commercial robotaxi service to more cities in the US.
“Laughing gas” may offer quick, long-lasting relief from depression
With ketamine showing potential as an antidepressant, researchers investigate another anesthetic: nitrous oxide, or "laughing gas."
DNA-damaging molecules in the gut linked to colon cancer
A new Yale study linking a DNA-damaging molecule in the gut to colorectal cancer may give us a way to prevent the deadly disease.
Quantum computer designs heat-radiating window coating
Notre Dame researchers have used quantum computing to design a transparent window coating that reflects heat into the atmosphere.
Your house could become a rechargeable cement battery. Here’s how.
Rechargeable cement batteries could allow for whole sections of multi-storey buildings to be made of functional concrete.
New mRNA vaccine for flu and COVID-19 enters human trials
Pfizer and BioNTech's new mRNA vaccine designed to protect against COVID-19 and the flu has entered human trials.
New study will put the leading theory about Alzheimer’s to the test
Washington University in St. Louis is embarking on a drug trial that may also put the amyloid hypothesis to its ultimate test.
Organ regeneration could overcome liver failure, without a transplant
Patients wait from 30 days to over five years to receive a liver transplant in the U.S. What if the liver could regenerate itself instead?
“Freakonomics” study offers simple strategy for making tough decisions
People who chose change over inaction, regardless of the decision, self-reported being better off and happier after six months.
AI could help cancer patients avoid a deadly recurrence
A new study found that AI can use a patient’s initial skin cancer growth to predict their risk of melanoma recurrence.
Chinese robot helps convert moon dust into fuel and oxygen
Chinese researchers have built an autonomous robot to set up an ISRU system for converting lunar soil into fuel and oxygen.
New exercise study could find drugs that mimic working out
MIT and Harvard researchers mapped out many of the cells, genes, and cellular pathways that are modified by exercise or high-fat diet.
This cheap material could capture CO2 from power plants before it pollutes the atmosphere
The simple compound costs just a fraction of similar carbon-capturing materials.
7 ways CRISPR is shaping the future of food
Using the powerful gene-editing tool CRISPR, researchers are altering crops and animals to add desirable traits and remove undesirable ones.
Pfizer’s RSV vaccine for pregnant women protects newborns
Pfizer plans to begin the regulatory approval process by the end of the year.
These earbuds can tell if a newborn has hearing problems
A newborn hearing screening device made from off-the-shelf earbuds is as effective as expensive commercial options.
Protecting the rainforest from space
In partnership with Skoll Foundation
Meet the network using AI and satellite imagery to fight the illegal use of land in Brazil.
These psychedelic “body snatchers” regenerate their bodies and absorb other organism’s attributes
These bizarre mollusks have the ability to regenerate their bodies and to absorb other organisms' attributes.
AI-discovered drug for ALS enters human trials in just four years
Verge Genomics has begun a trial of their AI-found ALS drug candidate, one of the first tests for this new method of drug discovery.
NASA “Flashlight” will hunt for hidden water on the moon
NASA’s Lunar Flashlight mission will use reflections from laser light to measure lunar water hidden in permanently shadowed craters.
How Greek philosopher Democritus predicted the atom in 400 B.C.E.
The idea of atoms goes as far back as the ancient Greek philosopher Democritus in 400 B.C.E., who thought physics left no room for free will.
NASA detects 50+ methane “super-emitters” from space
A new instrument aboard the International Space Station has been used to identify more than 50 “super-emitters” of methane.
Norway helped remake a US prison. Here’s what happened.
With single cells, a communal kitchen, Nordic-like furnishings and a landscaped, outdoor green space, it looks unlike any other U.S. prison.
Understanding cancer’s “dark matter”
Researchers have discovered that cancer’s epigenome — changes to how genes are expressed that aren’t mutations — may play a key role in its behavior.
FDA approves first-of-its-kind blood cancer treatment
The FDA has approved Johnson & Johnson’s Tecvayli, a new blood cancer treatment for people with relapsed or refractory multiple myeloma.
What you eat can reprogram your genes
You are what you eat, and what your parents ate, and what their parents ate. An expert explains how the foods you eat can reprogram your genes.
How digital intelligence is helping to train the next generation of surgeons
In partnership with Intuitive
To optimize training, many surgeons have turned to robots and artificial intelligence.
Meteorite blasts “biggest new crater” NASA has ever seen into Mars
A meteorite impact that caused a marsquake and created a massive new Mars crater could shape our plans to send people to the Red Planet.
Australian researchers have manufactured a living blood vessel
A blood vessel isn’t just a simple tube. Researchers at the University of Sydney have developed an implant capable of mimicking its complexities.
To avoid the worst effects of aging, we might need to exercise harder than we thought
To avoid one of the worst side effects of aging—bone, joint, and muscle pain—we might need to exercise a lot harder and more often.
New VR body suit lets you see inside your body while you exercise
A system for monitoring motion and muscle engagement could aid the elderly and athletes during physical rehabilitation.
Flu and RSV can fuse into a new kind of virus
In a new discovery, researchers at the University of Glasgow have observed hybrid viruses capable of infecting lung cells in the lab.
Molten salt reactors could save nuclear power
Molten salt reactors, a type of nuclear reactor first explored in the 1950s, could be the future of clean energy.
Deepfake audio has a tell – researchers use fluid dynamics to spot artificial imposter voices
Audio deepfakes potentially pose a huge threat, as people often communicate via phone calls, radio, and voice recordings.
Russia tries to impose switch to Linux from Windows
The Russian government is switching from the Windows operating system to the open-source OS Linux and encouraging companies to follow suit.
New smart contact lens monitors for glaucoma 24/7
Purdue researchers have created a smart, soft contact lens that can test for eye pressure, a key indicator of glaucoma, 24 hours a day.
Wild mammals are making a comeback in Europe thanks to conservation efforts
Many large mammals in Europe were close to extinction. New data shows us that the continent’s mammal populations are flourishing again.
This amphibious electric tricycle (and camper) costs $14,600
Latvian startup BeTRITON’s amphibious electric tricycle will take you from the road to the water to the campsite.
Shutterstock will sell AI images — and compensate artists
Shutterstock will make AI-generated images available on its website, while also compensating creators for helping train the AI.
It’s time to change how we think about electroshock therapy
Electroconvulsive therapy is more effective than ketamine at treating severe depression, according to a new meta-analysis.
The missing apex of Maslow’s hierarchy could save us all
In his later years, psychologist Abraham Maslow added a new apex to the pyramid of human needs: self-transcendence.
Experimental “FLASH” cancer treatment aces first human trial
The first-in-human trial of FLASH radiotherapy found the experimental cancer treatment to be safe and effective.
Withdrawal symptoms from antidepressants can last over a year
A scientific review found that withdrawal symptoms from antidepressants and antipsychotics can last for over a year.
Starlink satellites can be reverse-engineered to create new GPS
SpaceX’s Starlink satellite mega-constellation could be used to create a new, more secure global positioning system for the US Army.
Einstein’s theory of general relativity passes another test, with implications for dark matter and dark energy
Scientists carried out an ultra-precise test of a core premise of Einstein’s modern theory of gravity. The theory stood up.
How to prevent mass extinction in the ocean using AI, robots, and 3D printers
There is currently no possibility of the world reaching the 30% target for marine protected areas with existing policies. Tech to the rescue?
New tiny home village for unhoused people to open in 2023
Salt Lake City is building a new tiny home village to help Utahns experiencing chronic homelessness get off the street permanently.
Solar geoengineering could cool Earth, but some regions might continue warming
Some governments might try to “geoengineer” the planet by spraying substances into the upper atmosphere to reflect sunlight away from Earth.
Does turning the air conditioning off when you’re not home actually save energy?
Which is more efficient: running the air conditioning all day long, or turning it off during the day when you’re not there to enjoy it?
Space ads could earn $2 million a day, say Russian researchers
Space advertising could generate a profit, even though space ads would cost $65 million each, according to Russian researchers’ calculations.
Supermarket uses hydroponic farm to grow veggies onsite
By installing a hydroponic farm inside a grocery store, an Egyptian company is combating climate change while delivering a fresher product.
The technology we (or aliens) need for long-distance interstellar travel
Interstellar distances are vast, and extremely advanced technology will be required if we (or aliens) want to visit other star systems.
Merck pays Moderna $250m for personalized cancer vaccine
Pharma giant Merck has paid Moderna $250 million to co-develop and commercialize its promising mRNA-based personalized cancer vaccine.
The US is researching ways to block the sun
The US is developing a plan to study solar geoengineering, a controversial approach to combatting the effects of climate change.
Scientists discover slug that can decapitate itself, grow new body
Scientists observed two species of sea slug that were able to self-decapitate, survive for weeks without organs, and regenerate new bodies.
SpaceX announces Starlink Aviation service for planes
SpaceX is launching Starlink Aviation, a new service that will make its satellite internet network available on airplanes.
New motionless tech harnesses wind energy from rooftops
Aeromine Technologies’ motionless wind energy system promises to increase the amount of renewable energy generated from rooftops.
Is ancient technology better than modern air conditioning?
Wind catchers — an ancient technique to beat the heat — could help us once more in our quest for emissions-free cooling.
Deep brain stimulation can be life-altering for OCD sufferers when other treatment options fall short
Deep brain stimulation relies on thin electrodes implanted deep in the brain that deliver electrical currents. Could it treat OCD?
Astronomers unveil world’s largest digital camera
In 2024, the LSST Camera will begin a 10-year-long survey of space that could revolutionize astronomy — if LEOsats don’t get in the way.
Quantum entanglement wins 2022’s Nobel Prize in physics
Three pioneers — John Clauser, Alain Aspect, and Anton Zeilinger — helped make quantum information systems a bona fide science.