New stem cell patches could repair babies’ heart defects permanently
Not just light: Everything is a wave, including you
The mail is finally going electric (its trucks, anyway)
The dawn of AI has come, and its implications for education couldn’t be more significant
McDonald’s opens its first automated restaurant in Texas
Genetic research confirms your dog’s breed influences its personality — but so do you
A look at innovative, single-incision procedures
In partnership with Intuitive
Sophia the robot becomes first humanoid to be signed by a gaming org
This company turns food waste and mushrooms into building materials
A far-out plan to build an asteroid city
We gave ChatGPT a college-level microbiology quiz. It blew the quiz away.
World’s highest-res pictures of snowflakes combine art and tech
China’s new space station is open for business
New experiment produces hydrogen with LEDs
The “recovery paradox” explains why you’re burnt out
The 12 most exciting space missions of 2023
Paper-thin solar cell can turn any surface into a power source
New antibody therapy works for 73% of multiple myeloma patients
Pricing groundwater will help solve California’s water problems
Seven science and tech breakthroughs you may have missed this year
How to use the brain’s own immune cells to stave off Alzheimer’s
Search engines and AI will make each other better
Rewilding: letting nature do its own thing
Engineered bacteria may one day prevent kidney stones
“Galactic archeology” makes spectacular find: the Milky Way is over 13 billion years old
Harvard and Kraft Heinz are trying to make sugar healthier
Neuroscientists recommend more carbs and less coffee to combat seasonal depression
Researchers have developed a way to “decode” depression
After 50 years, fusion power hits a major milestone
MIT is testing light and sound to combat Alzheimer’s
Mega bacteria that can be seen with naked eye shakes up the field of microbiology
Just a few short bursts of physical activity each day might yield huge health benefits
World’s biggest cultivated meat factory is being built in the US
AI-based theory explains your weird dreams
Generative AI: The technology of the year for 2022
How exercise changes your brain biology and protects your mental health
Stem cell breakthrough could save the northern white rhino
New battery is cheaper than lithium-ion with four times the capacity
Will physics prevent SpinLaunch from succeeding?
Twin exoplanets may be the first known “water worlds”
Ad-free search engine to launch ChatGPT-like AI feature
Armadillo experiment suggests that we can regenerate human livers with leprosy
New “future-proof” drug can fight COVID-19 and the common cold
First-of-its-kind therapy sends girl’s incurable cancer into remission
An Earth-sized planet found in the habitable zone of a nearby star
Extra-salty lithium battery less likely to catch fire
World’s first asteroid-hunting spacecraft to launch in 2028
“Personalized curriculums” could get kids to care about school again
Moderna’s mRNA cancer vaccine reduces risk of recurrence or death by 44%
Anxiety treatment in early childhood can lower long-term mental health risks
Here’s what that fusion power breakthrough really means
SpaceX launches groundbreaking Japanese lunar lander
Cheap liver drug can prevent COVID-19
A new class of antidepressant works in 2 hours
New CRISPR tech makes it possible to wipe out invasive mice
Earth’s magnetic field supports biblical stories of destruction of ancient cities
Breakthrough drug cures sleeping sickness with one dose
“DALL-E 2 of biology” designs proteins for new drugs
3 rules to express your thoughts so that everyone will understand you
These tiny bubbles are “warheads” for killing cancer
Scientists discover two brand new minerals in massive meteorite
Are we living in a baby universe that looks like a black hole to outside observers?
Old Parkinson’s drug helps teens with type 1 diabetes
Startup unveils flying taxis expected to soar over NYC in 2025
Parents: Don’t focus on happiness, help build resilience instead
These “Kanga and Joey” bots will dive into the sewers, so we don’t have to
Five creative ways people are using ChatGPT
Scientists uncover key to future hepatitis C vaccine
Startup unveils $179 houseplant engineered to purify your air
Bacteria breakthrough could create brand new cheese flavors
Ancient killer asteroid created a megatsunami on Mars
How neuroscience can make us better parents
FDA approves US’s first fecal transplant therapy
Magnets pull these tiny medical robots deep into the brain
What can cities do to survive extreme heat?
“Korean Google” opens the world’s first robot-friendly building
How flu got milder since 1918 pandemic
NASA invests $57 million in a 3D laser printer to build moon bases
An interview with ChatGPT about itself
Newly discovered gut bacteria may be a culprit behind rheumatoid arthritis
Watch a Neuralink robot insert electrodes into a dummy brain
Rolls-Royce tests its first hydrogen-powered plane engine
How to fight Covid with light
What the new Earth-threatening asteroid means for humanity
Diplomacy game AI can negotiate, form alliances, and persuade people
Astronomers detect “mystery molecule” in exoplanet’s atmosphere
The (robotic) doctor will see you now
New ultra-thin solar cells could be the future of space power
Exercise boosts the brain — and mental health
Australia’s first rocket set to launch in 2023
A green trifecta: how a concrete alternative can cut emissions, resource use, and waste
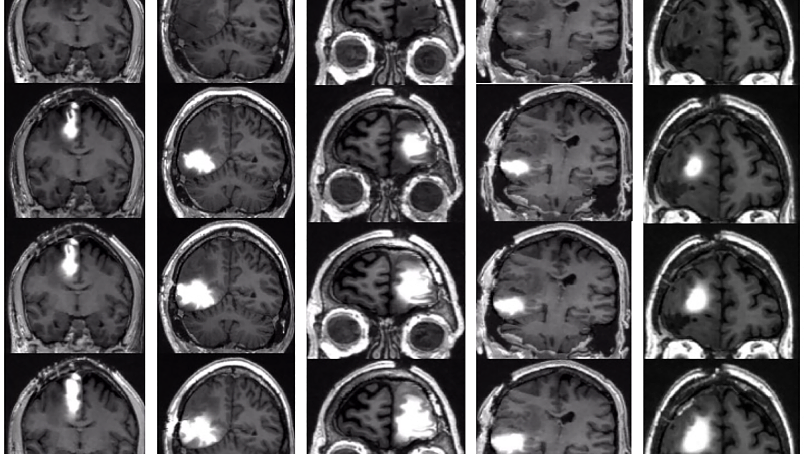
New brain cancer vaccine completes clinical trial
Seabin: How these “floating garbage bins” can help clean up our waters
Construction juggernaut unveils huge electric mining truck
The science of habits
Playing sea soundscapes can summon thousands of baby oysters – and help regrow oyster reefs
Deadly disease treated in the womb for the first time
New chemo pump for brain tumors could avoid side effects
UK study suggests single dose of monkeypox vaccine is 78% effective
$3.5 million treatment for hemophilia wins FDA approval