“This DNA is not real”: Why scientists are deepfaking the human genome
Researchers taught an AI to make artificial genomes, which could advance genetic research without compromising the privacy of individuals.
Building infrastructure on Mars is tricky — these bugs could help
Landing on Mars is just the beginning — to live there, we'll need to invent Martian concrete.
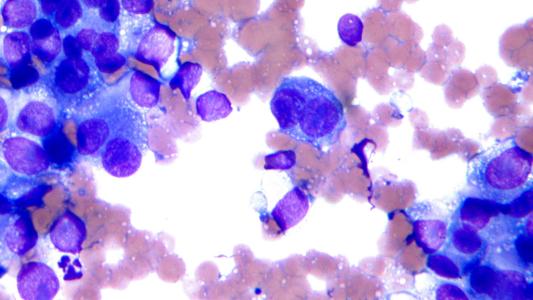
Fecal transplants help shrink cancer patients’ tumors
Fecal transplants made advanced melanoma patients who initially didn’t respond to immune checkpoint inhibitors responsive to the cancer treatment.
Nike unveils its first hands-free sneaker: The GO FlyEase
The GO FlyEase is Nike’s first completely hands-free sneaker — and the design was inspired by a letter from a teenage boy with cerebral palsy.
This ice cream is made from lab-grown vegan milk
Disappointed by available milk alternatives, the startup Perfect Day developed lab-grown vegan milk that’s molecularly identical to the kind from cows.
Biologist infects himself with parasites in pursuit of hookworm vaccine
A marine biologist intentionally infected himself with parasitic hookworms and documented it in Tweets and pictures that will make your skin crawl.
These mutant zebrafish are growing arm bones
While studying mutant zebrafish, scientists discovered that a single genetic mutation caused the fish to start developing the beginnings of arms.
Brain mapping: Explained
The brain is a difficult place to work. How can brain mapping help open the black box between your ears?
Oral ketamine treatment reduced suicidal thoughts: Pilot study
A new, small study in Australia suggests that oral ketamine treatment may help treat suicidal thoughts.
Elon Musk offers $100 million for direct carbon capture tech
A new Xprize competition funded by Elon Musk offers $100 million in prizes for scalable direct carbon capture technology.
Trees and insects helped create Novavax’s COVID-19 vaccine
Novavax’s COVID-19 vaccine was nearly 90% effective in a U.K. trial — and the ingredients for the promising subunit vaccine came from insects and trees.
Smart stem cells made from fat have the power to heal
Researchers have reprogrammed human fat cells into adaptive smart stem cells that can lie dormant and heal various tissues.
Fauci predicts universal COVID-19 vaccine availability by April
Anthony Fauci expects April will be “open season” for COVID-19 vaccines. Here’s why his prediction about COVID-19 vaccine availability appears accurate.
Diy factory turns plastic waste into super-strong bricks
Kenyan startup Gjenge Makers turns plastic waste into plastic bricks that are stronger, lighter, and cheaper than their concrete counterparts.
Two new Mars missions just reached the Red Planet
Two of the three Mars missions expected to reach the Red Planet in February 2021 have successfully completed the journey.
Electricity and chemistry could give biofuels a big boost
Scientists found an easier way to produce a chemical reaction important in making biofuels, possibly lowering the cost of biofuel production.
Google trends reveal a boredom pandemic. How can we help?
Google trends showed that online searches for subjects linked to boredom and loneliness jumped dramatically, according to a study.
Cloud-based quantum computing, explained
Cloud-based quantum computing is making the cutting-edge tech available to people today, not years from now when the systems are more readily available.
Ask the crowd: When can I get the COVID-19 vaccine?
Volunteers are creating online tools powered by crowdsourced data to help people answer the question: where and when can I get the COVID-19 vaccine?
Can CRISPR engineer immunity to avian flu in chickens?
An outbreak of avian flu in chickens can mean millions of birds dead and billions of dollars lost. This startup wants to engineer flu-resistant poultry.
Man's double hand & face transplant may be first to succeed
Five months post-surgery, a double hand and face transplant recipient shows no signs of transplant rejection, suggesting the procedure was a success.
AI brings Vince Lombardi back to life for Super Bowl ad
Using face-swapping AI, the NFL has created a Super Bowl ad in which iconic coach Vince Lombardi delivers a message of unity 50 years after his death.
Are we scratching the surface of what an old vaccination method can do?
Smallpox vaccine was administered by scratching the skin. Mice suggest this old-school method may work better against other respiratory viruses as well.
This company wants to use CRISPR to fix your celiac disease
Sufferers of celiac end up with some pretty lack-luster pastries. A startup thinks CRISPR can help.
Friendly little mice are helping us understand the effects of LSD
Researchers at McGill have discovered the mechanisms behind the sociable effects of LSD in mice.
New 3D bioprinting technique creates bone with living cells
A new 3D bioprinting technique could let doctors print new bone containing living cells right inside a patient’s body.
HIV drugs appear to prevent the #1 cause of vision loss in seniors
An HIV drug appears to prevent dry macular degeneration, suggesting that drug repurposing could be a viable strategy for treating the incurable disease.
Can a lab-grown uterus treat infertility?
A bioengineered uterus could open up treatment options for women facing infertility.
3D-printed halo helps dog adjust to life without eyesight
The owner of a blind dog named Sienna used 3D printing to custom-build a device that would stop the diminutive Pomeranian from running into walls.
New program offers $400,000 in science startup funding
The newly announced Sci-Founder Fellowship program is offering $400,000 in science startup funding to up to eight teams of early-career scientists.
Nuclear fusion inspires new rocket thruster design
A new rocket thruster design that uses magnetic fields could lead to far faster space travel — the kind that could let us explore places beyond Mars.
Biofuel rocket launch is a first in aerospace
Startup bluShift has successfully launched a biofuel rocket, proving that biofuels could be the future of more sustainable spaceflight.
Science and art collide over a giant field of leeks
Dutch artist Daan Roosegaarde’s new GROW installation features multicolored LED lights dancing over a field of leek plants.
America’s first funeral home for composting human remains is open for business
After a decade of planning and a successful bid to change Washington state law, Recompose, a funeral home that composts human remains, is finally open.
AI can find endangered elephants from space
A breakthrough technology uses artificial intelligence to track large animals from space, even in complex terrain.
Icelandic rocks hold clues to Mars’ ancient climate
Water once flowed on Mars. But was ancient Mars’s climate hot and wet, or dry and glacial? Iceland may hold the answer.
Designer DNA hunts down multiple myeloma in mice
Researchers have developed designer DNA that kills cancer stem cells at their roots, showing early signs of success preventing relapse in mice.
Can we decentralize the internet?
A decentralized internet could make the internet faster and less vulnerable to censorship.
New vaginal ring reduces risk of HIV and pregnancy
A vaginal ring that serves double duty as both long-term contraception and convenient HIV prevention showed promise in a small study.
MIT's AI predicts new strains of HIV, coronavirus
As coronavirus mutations pop up around the world, researchers at MIT are using language-recognizing AI to try and predict what could be next.
New brain implant can be charged wirelessly
A new brain implant contains wireless charging tech that could eliminate the need for surgeries to remove and replace drained batteries.
Mount Sinai is opening a psychedelic research center
A pacesetting institution, the Icahn School of Medicine at Mount Sinai is opening a psychedelic research center focusing on MDMA and trauma.
This cloudless “hot Jupiter” is unlike any known exoplanet
Astronomers have discovered a first-of-its-kind cloudless hot Jupiter — and it could expand our understanding of exoplanet formation.
Predicting which birds can cause Lyme disease spread
Lyme disease spreads via infected ticks, some of whom pick it up from birds. But which birds may carry the disease to new places?
Johnson and Johnson's coronavirus vaccine is 66% effective
Data from phase 3 trials of Johnson and Johnson's coronavirus vaccine suggests the vaccine is ready to go to the FDA for approval.
Lab-grown wood is taking shape at MIT
A newly demonstrated technique for making lab-grown wood could overcome several shortcomings of traditional logging, if it's scalable.
First AR-assisted knee replacement in America is a success
The United States’ first AR-assisted knee replacement surgery was a success, marking another milestone for the use of AR in healthcare.
Sophia the Robot will be mass-produced this year
Hanson Robotics is going to begin mass-producing Sophia the robot in 2021, making the social robot available to help combat the pandemic.
Moderna COVID-19 vaccine booster targets mutant strain
Moderna is trialing a COVID-19 vaccine booster designed to increase protection against a South African strain of the coronavirus.
Deep brain stimulation can treat OCD without drugs
Stimulating the brain with electricity could be a treatment for OCD. Researchers test electrical stimulation to reduce compulsive behavior.
Total artificial heart approved for sale in Europe
The European Commission has approved the sale of Carmat’s total artificial heart, which is designed for patients with end-stage heart failure.
Personalized skin cancer vaccine is made from tumor cells
A personalized skin cancer vaccine developed from melanoma survivors’ own tumor cells has shown promise in a small trial.
Can science save the northern white rhino?
The northern white rhino species is down to just two members, both female. Can science bring it back from the brink of extinction?
An AI has discovered new craters on Mars
An AI trained to spot signs of fresh craters on Mars in photos of the Martian surface has already discovered dozens of new impacts.
Scientists hack kombucha for new materials
Scientists are using a modified kombucha SCOBY to create materials that sense pollutants, purify water, or make damage-sensing packaging materials.
Doctors use AR surgery to implant 3D-printed eye socket
Doctors in Israel used a combination of AR surgery and 3D printing to repair a patient’s damaged eye socket quickly and efficiently.
We're floating in 6,000 tons of junk
There's a lot of trash in outer space. We need to clean it up before it becomes unusable.
Bots can now swim like a school of real fish
Bluebots, robotic fish developed at Harvard, are the first to demonstrate complex swarm behaviors underwater.
AI makes nearly 100% accurate cancer diagnosis from urine
A new AI-based technique can make a nearly 100% accurate prostate cancer diagnosis from a urine sample, potentially saving patients from unneeded biopsies.
New scooter battery can charge in 5 minutes. Can it transform electric cars?
StoreDot's battery fully charges in just five minutes, and it can be manufactured on the same production lines as today's EV batteries.
This urban park used to be an airport runway
To provide cities with more green spaces, designers turned a former airport runway into an urban park and an abandoned mall into a recreational lagoon.
Citizen scientists helped NASA map our cosmic backyard
NASA was able to create a highly detailed 3D map of nearby brown dwarfs thanks to the efforts of 150,000 citizen scientists.
Stomach implant tells your brain you're not hungry
A tiny implant uses LED light stimulation to stave off hunger, offering a new weight loss option, and gastric bypass alternative, for people suffering from obesity.
New discovery could stop dengue’s “breakbone” fever
Making a dengue vaccine is difficult. It’s early, but a new antibody that targets a protein the virus makes instead of the virus itself may be a solution.
Interactive map puts Capitol Hill riot videos into context
The developer Patr10tic has used metadata from Parler to create an interactive map linking each of the Capitol Hill riot videos to its exact location.
Vaccines and recovery both provide strong COVID-19 immunity
Natural COVID-19 immunity — the kind coronavirus survivors have — is about as robust as the immunity prompted by vaccines.
Autonomous trucks are taking to the highways
Self-driving cars get all the love, but autonomous trucks are already hitting the road, with a “driver-out” demonstration scheduled for 2021.
Base editing could cure a host of genetic diseases
Base editing has proven useful for correcting disease-causing point mutations in animals — and now, human trials are on the horizon.
Smart vape pen claims to solve the cannabis dosing problem
To solve the cannabis dosing problem, the MODE smart vape vibrates when a person should stop inhaling and again when they should exhale.
Scientists may have found the hum of the universe
Scientists may have recorded the "hum" of the universe for the first time by measuring irregularities in gravitational waves.
Moderna is developing an mRNA vaccine for HIV
Moderna is using the same technology behind its COVID-19 vaccine to develop an mRNA vaccine for HIV.
Tiny satellite uses Earth’s magnetic field to generate thrust
Students are sending a CubeSat to space. The nanosatellite will test a propulsion method that uses Earth's magnetic field to maintain low earth orbit.
Beyond COVID: mRNA vaccines may treat cancer and more
The technology used to make the COVID-19 vaccine could be used to treat other diseases too.
One robot was able to watch another bot and predict its actions
A Columbia University study suggests that empathy between robots may be possible — and the skill could make the bots more useful to humans.
Phage therapy kills superbug behind many ICU infections
Combining a bacteria-killing virus and an antibiotic was able to wipe out an infection of the superbug A. baumannii in mice.
Nerve-stimulator helps people walk after MS and strokes
The EvoWalk wearable uses electrical stimulation, sensors, and AI to combat foot drop, a condition commonly linked to MS and strokes.
This spider-like moon rover will explore lunar lava tubes
A spider-like moon rover heading to the lunar surface in 2021 is designed to explore the underground lava tubes in which astronauts might one day live.
Wind turbine blades are a growing waste problem
Using decommissioned wind turbine blades to build bridges, buildings, and more could eliminate one of the biggest disadvantages of wind energy.
New AI can draw pictures, inching closer to humanlike smarts
OpenAI's two new machine learning algorithms improve computer vision and can use text cues to draw unique and often offbeat images.
Should we delay the second doses of COVID-19 vaccines?
As vaccination campaigns begin, researchers are divided over whether the two-dose strategy should be delayed to get more people’s first dose done quicker.
Smart vaccine device could speed up development process
An in-development smart vaccine device uses a microneedle patch to both deliver a vaccine and measure the immune response it generates.
Geothermal energy is on the verge of a big breakthrough
Geothermal energy may be the key to bringing reliable, clean energy to the world.
Cancer cells can hibernate to escape chemotherapy
A new study has found evidence that cancer cells hibernate, slowing down their division and waiting out the harsh environment of chemotherapy.
Recycling robot keeps waste out of landfills
AMP Robotics has developed a recycling robot that uses AI to sort recyclables twice as quickly as humans can.
Scientists observe cells reacting to a magnetic field for the first time
Scientists aren’t sure how animals sense magnetic fields — magnetoreception. New observations of living cells reacting to magnetic fields may hold a clue.
California city ends its chronic homelessness
Bakersfield, California, has effectively ended its chronic homelessness through an initiative focused on the collection of real-time data.
Quantum teleportation demo sets new accuracy record
A quantum teleportation breakthrough at Fermi National Accelerator Laboratory puts us one step closer to a super-fast, super-secure quantum internet.
New COVID-19 treatment uses stem cells
Umbilical cord stem cells may provide life-saving care for people with a serious case of coronavirus.
Robot made of ice can repair and rebuild itself
A team of researchers wants to build robots out of ice and send them to space. The icy bots can use found materials to rebuild themselves.
Transparent solar windows could be coming soon
Solar power is abundant, but the dark panels pose a design problem. A new generation of transparent solar panels could make house-powering windows and phone screens a reality.
The most anticipated space missions of 2021
The list of 2021's most exciting space missions includes several Mars orbiters, a couple of moon shots, and the launch of an asteroid-deflecting spacecraft.
TikTok users rally to help elite athlete with Parkinson’s
TikTok users are rallying to help elite athlete Jimmy Choi by designing a pill bottle that's easier to use when his hands shake due to Parkinson’s disease.
NASA's next-gen spacesuit
NASA is developing a next-generation spacesuit called the xEMU for upcoming missions to the moon and, eventually, crewed trips to Mars.
A “self-deleting” gene drive to end mosquito-borne diseases
A gene drive designed to remove itself from an insect population after a few generations could help bring an end to mosquito-borne diseases.
ESA is building its first reusable spaceplane
ESA is officially building Space Rider, a spaceplane designed to give scientists cheaper access to microgravity for their experiments.
These brain implants can predict an epileptic seizure days in advance
For the first time, a study has shown that brain activity could be used to forecast the onset of epileptic seizures several days in advance.
Quantum computing: Explained
Quantum computing is the holy grail of computer science. Here's everything you need to know about how it works — and why it will be world-changing.
New findings could help wine survive climate change
Climate change is altering wine making as we know it. Researchers at UC Davis have identified what makes some grapes more resistant to water stress.
A cancer immunotherapy technique may prevent diabetes
Engineered immune cells can fight off rogue T cells which damage the pancreas and cause type 1 diabetes.
Scientists put bees in little reflective “vests” for bee tracking
Bee tracking is difficult and expensive, and smaller bees are left out. Lightweight, inexpensive tags may be a solution.